About

Smile Gallery

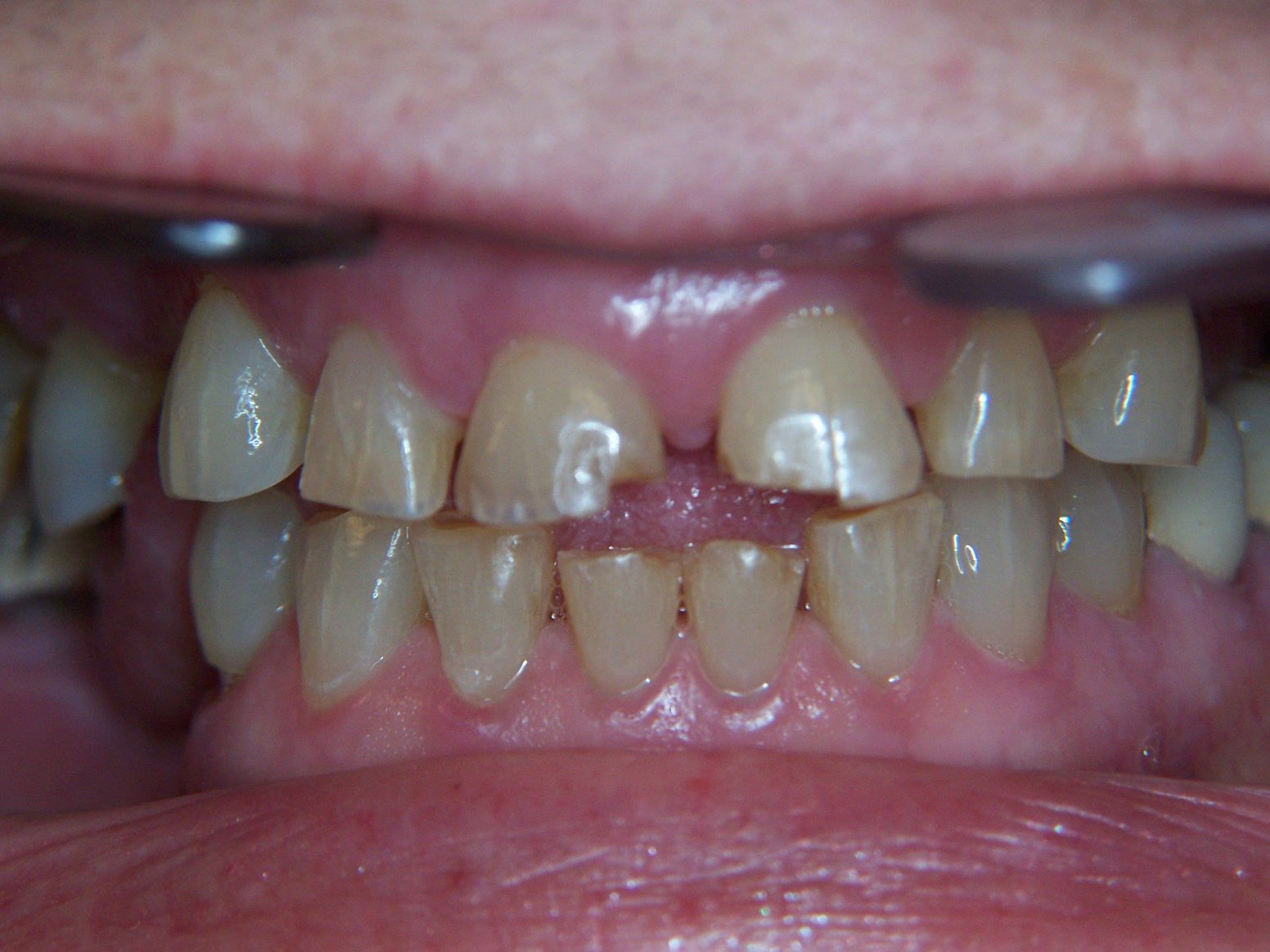
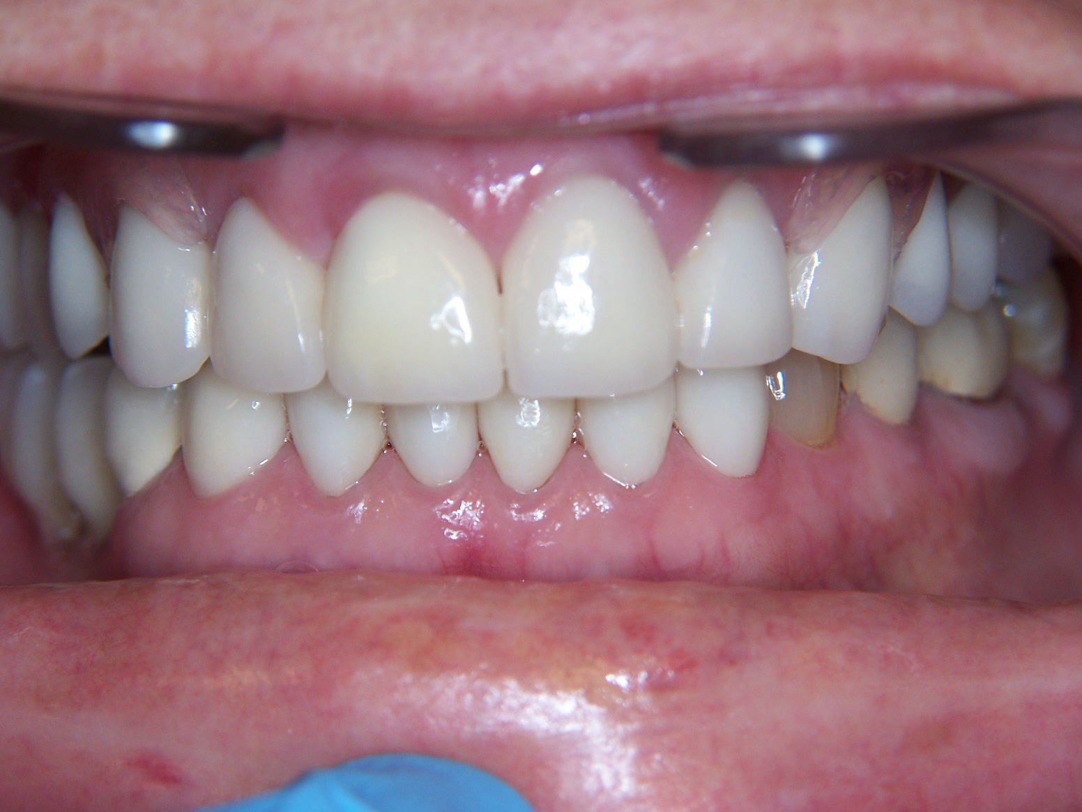
Results worth smiling about!

We’ve always been driven by a passion for our patients’ comfort and health. We’re thrilled to offer you the same wonderful care you’ve come to expect but with a backbone that takes our service to an exciting new level. We’re deeply committed to the core values of great patient experiences, quality outcomes, and a commitment to our local community.

Our patients us in

Austell

Leave us a Review